阿摩線上測驗 登入

試題詳解

試卷:111年 - 111 專技高考_獸醫師:獸醫病理學#109876 | 科目:獸醫病理學

試卷資訊

試卷名稱:111年 - 111 專技高考_獸醫師:獸醫病理學#109876

年份:111年

科目:獸醫病理學

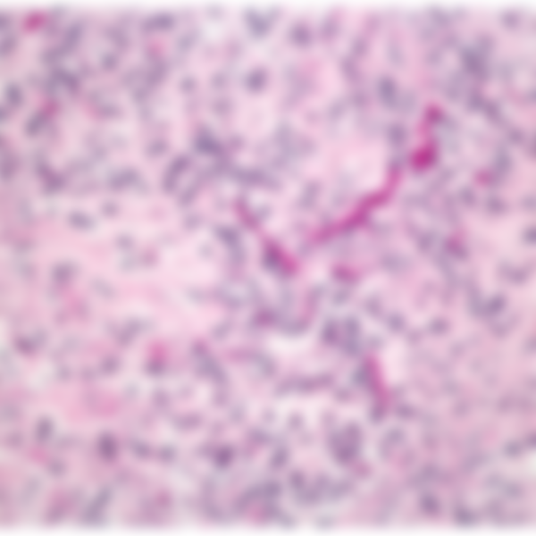
61.下圖所示羊隻皮膚肉眼與組織病變,最適當的診斷為:
(A)念珠菌病(candidiasis)
(B)假足菌腫(pseudomycetoma)
(C)沙蚤病(dermatophilosis)
(D)皮黴菌病(dermatophytosis)

正確答案:登入後查看

詳解 (共 5 筆)

推薦的詳解#5746003
未解鎖
嗜皮線菌病(Dermatophilo...

(共 861 字,隱藏中)
前往觀看
41
0
推薦的詳解#5589642
未解鎖
沙蚤症,英文為Dermatophilos...
(共 267 字,隱藏中)
前往觀看
25
0
推薦的詳解#5889542
未解鎖
相關考古 38.下列有關嗜皮線菌症(d...

(共 397 字,隱藏中)
前往觀看
12
1
推薦的詳解#5889539
未解鎖
家畜病理學下冊P366



(共 13 字,隱藏中)
前往觀看
11
0
推薦的詳解#6145622
未解鎖
補充D Dermatophytosis ...

(共 22 字,隱藏中)
前往觀看
10
0

私人筆記 (共 3 筆)

私人筆記#5197150
未解鎖
嗜皮線菌(Dermatophilus c...

(共 806 字,隱藏中)
前往觀看
21
0
私人筆記#4479780
未解鎖
第六版課本有圖大家覺得肉眼像嗎?皮膚嗜皮...



(共 245 字,隱藏中)
前往觀看
15
0
私人筆記#7182015
未解鎖
家畜病理學的像火車鐵軌樣我根本就一頭霧水...


(共 94 字,隱藏中)
前往觀看
9
0