所屬科目:牙醫學(二)(包括口腔病理學、牙科材料學、口腔微生物學、牙科藥理學等科目及其臨床相關知識)
1.下列那個疾病與影子牙齒(ghost teeth)最無關? (A)外胚層發育不良(ectodermal dysplasia) (B)神經纖維瘤病(neurofibromatosis) (C)低磷酸酶症(hypophosphatasia) (D)副甲狀腺功能低下症(hypoparathyroidism)
2.下列何者不是 X 光片中所顯示左下顎第一、二小臼齒牙根異常之原因? (A)異常咬合外傷(abnormal occlusal trauma) (B)無對咬牙(unopposed teeth) (C)唐氏症(Down syndrome) (D)嘉德耐氏症候群(Gardner syndrome)
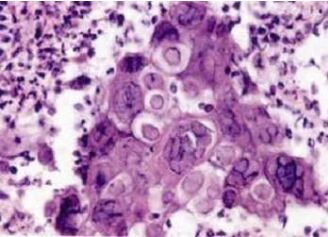
3.下圖疾病最可能是那種微生物的感染? (A)Staphylococcus aureus (B)Treponema pallidum (C)Neisseria gonorrhoeae (D)Mycobacterium tuberculosis
4.下圖為單純疱疹病毒(HSV)感染後上皮細胞之變化,下列何者不是對此圖中上皮細胞之描述? (A)dysplasia (B)ballooning degeneration (C)margination of chromatin (D)multinucleation
5.關於軟骨瘤化生(chondromatous metaplasia)的敘述,下列何者錯誤? (A)為腫瘤性(neoplastic)的軟骨伴隨硬骨增生 (B)較常見於下顎後牙呈現刀刃狀牙嵴區 (C)組織切片需要與骨肉瘤做鑑別診斷 (D)治療方式以手術修整(surgical recontouring)為主
6.關於各種藥物造成口腔黏膜顏色變化及部位的配對,下列何者錯誤? (A)minocycline:藍灰色;口腔黏膜 (B)estrogen:棕黑色;口腔黏膜 (C)antimalarials:藍黑色;硬腭 (D)peginterferon alfa:黑色;葉狀乳突
7.一位女性病患至牙科診所製作金屬牙冠。在醫師使用完牙科印模材後,病患抱怨接觸印模材附近的黏膜有刺痛 及灼熱感覺。臨床檢查發現周圍黏膜有輕微紅腫及表面潰瘍的現象。下列何者為最可能診斷? (A)candidiasis (B)sialadenitis (C)allergic contact stomatitis (D)nicotine stomatitis
8.關於復發性口瘡口炎(recurrent aphthous stomatitis)的敘述,下列何者正確? (A)主要是體液性免疫反應(humoral immunity)所引起 (B)較常發生於口腔角化黏膜 (C)增加了 TNF-alpha 的產生 (D)最常發生於老年人
9.巨細胞纖維瘤(giant cell fibroma)內的巨細胞來源為下列何者? (A)鱗狀上皮細胞(squamous epithelial cell) (B)纖維母細胞(fibroblast) (C)巨噬細胞(macrophage) (D)噬骨細胞(osteoclast)
10.鐮刀狀細胞貧血(sickle cell anemia)病人,常見於那種疾病的流行區? (A)性病 (B)結核病 (C)麻疹 (D)瘧疾
11.關於纖維性發育不良(fibrous dysplasia)的敘述,下列何者錯誤? (A)多與 GNAS 基因之功能活化突變(activating mutation)有關 (B)下顎骨比上顎骨容易發生 (C)常造成無痛之骨骼膨脹(bone expansion) (D)典型的 X 光檢查呈現邊界不清之毛玻璃狀放射線不透過性病灶(ill-defined ground glass radiopacity)
12.下列何者不是兒童罹患甲狀腺功能不足時的症狀? (A)顎骨及牙齒發育不良 (B)臉頰嘴唇及牙齦等軟組織腫脹 (C)萌牙延遲 (D)毛髮旺盛
13.下列何種病變在上皮層下方結締組織中,常有很多富含脂質的組織球(lipid laden histiocytes)? (A)疣狀黃瘤(verruciform xanthoma) (B)接觸性軟疣(molluscum contagiosum) (C)脂漏性角化症(seborrheic keratosis) (D)局部上皮增生(focal epithelial hyperplasia)
14.關於化膿性肉芽腫(pyogenic granuloma)的敘述,下列何者正確?①最主要的病因是感染 ②病灶表面通 常有潰瘍 ③女性多於男性 ④最好發於舌背 (A)①② (B)①③ (C)②③ (D)②④
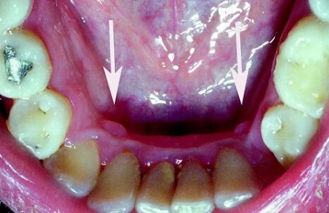
15.病灶如附圖箭頭所示。關於此情況的敘述,下列何者錯誤?(A)診斷為 retrocuspid papilla (B)好發於兒童及年輕人 (C)病因為慢性刺激 (D)不需手術切除
16.關於黏液表皮樣癌(mucoepidermoid carcinoma)的敘述,下列何者錯誤? (A)70%的病例發生於 10 歲以下的兒童,這也是兒童中最常見的唾液腺原發性惡性腫瘤 (B)其組織病理學特徵主要由黏液細胞(mucus-producing cells)、表皮樣細胞(epidermoid cells)及中間 型細胞(intermediate cells)組成 (C)部分病例的腫瘤細胞可見 CRTC1-MAML2 基因轉位(translocation) (D)部分病例的病理學特徵,可觀察到透明細胞(clear cells)
17.下列有關謝格連氏症候群(Sjögren syndrome)的臨床表現,何者錯誤? (A)易出現乾裂的舌頭 (B)易發生齒頸部齲齒(cervical caries) (C)易出現角膜結膜炎(keratoconjunctivitis) (D)易出現兩側萎縮變小的腮腺
18.關於蝦蟆腫(ranula)的敘述,下列何者正確? (A)專指出現在顎下腺的腫瘤 (B)可以是指出現在口底(floor of the mouth)的唾液腺相關病變 (C)鏡下主要變化為黏液積聚在擴大的淋巴管內 (D)所謂的衝進式蝦蟆腫(plunging ranula)是專指發生於舌內的蝦蟆腫
19.下列敘述何者為再生不良性貧血(aplastic anemia)患者可能的臨床表現?①心搏過速(tachycardia) ②牙齦出血(gingival hemorrhage) ③口腔黏膜瘀斑(oral mucosal ecchymoses) ④口腔潰瘍(oral ulcerations) (A)①②③④ (B)僅①②③ (C)僅②④ (D)僅③④
20.在 X 光片上有一邊界清楚的放射線緻密區(well-defined, radiodense),位於左下第一大臼齒的牙根尖 處,而該牙齒沒有任何的齲齒。最可能的診斷為下列何者? (A)複雜性牙瘤(complex odontoma) (B)複合性牙瘤(compound odontoma) (C)骨肉瘤(osteosarcoma) (D)病因不明性骨硬化症(idiopathic osteosclerosis)
21.下列疾病何者的影像學最不可能出現如圖所示之病灶? (A)腺瘤樣齒源性瘤(adenomatoid odontogenic tumor) (B)造釉細胞瘤(ameloblastoma) (C)鈣化上皮齒源瘤(calcifying epithelial odontogenic tumor) (D)齒質性鬼細胞瘤(dentinogenic ghost cell tumor)
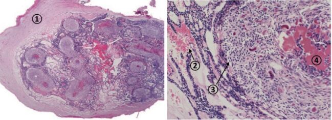
22.如圖所示的組織學切片,那一個數字所標示的區域、細胞或組織變化,最可能造成 X 光影像中的放射線不透射性區域? (A)① (B)② (C)③ (D)④
23.根據所附的根尖放射線影像,下列何者是最不可能的診斷?(A)殘餘囊腫(residual cyst) (B)單囊性造釉細胞瘤(uncystic ameloblastoma) (C)齒源性角化囊腫(odontogenic keratocyst) (D)骨化纖維瘤(ossifying fibroma)
24.下列關於多形性紅斑(erythema multiforme)的敘述,何者正確? (A)主要侵犯中老年者 (B)常見的前驅症狀(prodromal symptom)包括有發燒、喉嚨痛、頭痛 (C)常見的皮膚病灶為臉頰蝴蝶疹(butterfly rash) (D)診斷依據為血清抗細胞間質抗體(anti-intercellular substance antibody)呈陽性反應
25.關於扁平苔癬(lichen planus)的敘述,下列何者錯誤? (A)好發於青少年 (B)女性的發生率較男性高 (C)典型的病灶特徵之一為白色網狀線條(Wickham striae) (D)口腔中也可能出現脫屑性牙齦炎(desquamative gingivitis)
26.後天性大疱性表皮鬆解(epidermolysis bullosa acquisita)主因在於自體抗體攻擊下列何種蛋白質? (A)角質蛋白 (B)第Ⅰ型膠原纖維 (C)第Ⅳ型膠原纖維 (D)第Ⅶ型膠原纖維
27.疣生膿性口炎(pyostomatitis vegetans)被認為是下列何種疾病的口腔表現? (A)類肉瘤病(sarcoidosis) (B)梅爾柯森-羅森索症候群(Melkersson-Rosenthal syndrome) (C)發炎性腸道疾病(inflammatory bowel disease) (D)肉芽腫性多血管炎(granulomatosis with polyangiitis/Wegener granulomatosis)
28.下列何種狀況最不易造成口腔黑色素沉積? (A)麥坤-阿部萊特氏症候群(McCune-Albright syndrome) (B)嘉德耐氏症候群(Gardner syndrome ) (C)浦茲-詹賀症候群(Peutz-Jeghers syndrome) (D)長期服用氯奎寧(chloroquine)類藥物
29.關於材料間黏著(adhesion)和鍵結(bonding)的敘述,下列何者錯誤? (A)潤濕(wetting)是液體在固體表面上擴散和流動的特性 (B)較高的接觸角(contact angle)表示黏著劑容易流入被黏著物體表面 (C)同類分子互相黏附或吸引之吸引力稱為內聚(cohesion) (D)分子間的內聚力(cohesive force)越大,材料的表面能(surface energy)越大
30.美國食品與藥物管理局訂定的指引中,列舉較不適合使用汞齊的患者,下列何者不在其中? (A)懷孕婦女 (B)哺乳中的婦女 (C)腎功能不好的患者 (D)65 歲以上的老人
31.關於樹脂黏合劑(resin cement)的敘述,下列何者錯誤? (A)依固化模式可分為自固化(self-cured)、光固化(light-cured)和雙固化(dual-cured) (B)三級胺(tertiary amine)為活化劑(activator),但三級胺之退化會造成變色 (C)機械性質會受填料(filler)之含量及有機基質(organic matrix)之轉化程度影響 (D)吸水性(water sorption)和溶解度(solubility)較樹脂修飾玻璃離子黏合劑(resin-modified glass ionomer cements)高
32.關於石膏的敘述,下列何者正確? (A)增加攪拌速度會打斷已形成的結晶使反應變慢 (B)水溫由 20℃增加到 30℃時,半水硫酸鈣的溶解度上升,使石膏的硬化速度延遲 (C)理論上半水硫酸鈣加水反應成二水硫酸鈣體積應該收縮,但實驗結果為膨脹 (D)半水硫酸鈣在水中的溶解度比二水硫酸鈣低
33.下列何者主要用來測量石膏的硬化時間(setting time)? (A)諾氏硬度計(Knoop hardness tester) (B)維克氏硬度計(Vickers hardness tester) (C)吉摩針(Gillmore needle) (D)萬能材料試驗機(universal testing machine)
34.關於藻膠印模材的特性,下列敘述何者錯誤? (A)以較快的速度從口腔中移除印模材比較不會使薄區(thin sections)撕裂 (B)可透過改變磷酸鈉的含量來控制正常或是快速固化(regular-and fast-set) (C)自來水的硬度減少會使固化時間變短 (D)殘留在調刀及攪拌碗的石膏會使藻膠印模材加速硬化
35.ADA 規範固化後最低抗壓強度由高至低排序應為下列何者? ①模型用石膏(model plaster) ②牙科硬石 膏(dental stone) ③磷酸結合包埋材 ④矽土結合包埋材 (A)①②③④ (B)②①③④ (C)②①④③ (D)④③②①
36.使用聚乙醚(polyether)印模材取印模後,需要浸泡消毒,下列浸泡時間何者最適當? (A)10 分鐘以內 (B)10~20 分鐘 (C)20~30 分鐘 (D)30~60 分鐘
37.根據美國牙醫學會(ADA)分類,合金中的貴金屬元素(noble metal element),不包含下列那個元素? (A)鋨(Os) (B)鈀(Pd) (C)銥(Ir) (D)銀(Ag)
38.下圖為鎳鈦矯正線受力變形曲線。那一段代表的是沃斯田相(austenitic)受力後相變化為麻田散相 (martensitic)? (A)b-c (B)c-d (C)d-e (D)e-f
39.關於義齒基底樹脂聚合收縮(polymerization shrinkage),下列敘述何者錯誤? (A)當甲基丙烯酸甲酯(MMA)聚合成聚甲基丙烯酸甲酯(PMMA),密度會增加 (B)熱聚式義齒基底樹脂粉液調拌後,聚合後體積減少約 7% (C)上顎義齒的線性收縮變化,快速熱聚(rapid heat-cured acrylic)樹脂比聚乙烯(vinyl acrylic)樹脂 收縮大 (D)上顎義齒的線性收縮變化,高衝擊式(high-impact acrylic)樹脂比聚乙烯(vinyl acrylic)樹脂收縮大
40.關於聚丙烯酸樹脂玻璃轉換溫度(glass-transition temperature)的敘述,下列何者錯誤? (A)低於玻璃轉換溫度時,材料由軟變硬 (B)低於玻璃轉換溫度時,材料體積會增加 (C)材料的組成會影響玻璃轉換溫度 (D)聚丙烯酸樹脂的玻璃轉換溫度約在 105℃
41.關於低收縮(low-shrinkage)複合樹脂的描述,下列何者錯誤? (A)單體 silorane 運用開環聚合,可減少聚合收縮 (B)樹脂基質中單體的分子量降低,可減少樹脂的收縮率 (C)單體 4,8-di(methacryloxymethylene)-tricyclodecane(TCDDMA)具有較大的中心結構,可降低收縮速 率 (D)增加填料(filler)的比率可以降低樹脂的收縮率
42.下列何種複合樹脂吸水性最高? (A)微粒子複合樹脂(microfill composite) (B)混合複合樹脂(hybrid composite) (C)小顆粒混合複合樹脂(small particle hybrid composite) (D)大粒子複合樹脂(macrofill composite)
43.關於包埋材硬化膨脹(setting expansion)的敘述,下列何者正確?①增加水粉比(W/P ratio)能增加膨 脹 ②相較於沒有使用襯墊,使用襯墊(liner)可增加膨脹 ③相較於兩層襯墊,一層襯墊(liner)提供 更高的膨脹率 ④相較於沾濕水分的襯墊,乾燥的襯墊(liner)可增加膨脹 (A)僅② (B)①② (C)僅③④ (D)①③④
44.磷酸結合包埋材的成分中,下列何者為高溫處理時熱膨脹之主要來源? (A)Zn3(PO4)2 (B)CaSO4.2H2O (C)NH4MgPO4.6H2O (D)SiO2
45.下列何者不是牙科材料鍵結(bonding)和黏著(adhesion)的目的? (A)抵抗牙科贋復物與齒質分離 (B)透過密封界面以阻止微滲漏(microleakage)發生 (C)使應力集中於牙科贋復物與齒質之黏著面 (D)減少邊緣染色並預防二次齲齒
46.關於黏著處理中的酸蝕步驟,下列敘述何者正確? (A)酸蝕無法移除塗抹層 (B)進行全酸蝕時沖洗完磷酸後,須讓牙齒保持完全乾燥 (C)酸蝕後遇口水污染應立即用清水沖洗,並塗抹底劑(primer) (D)酸蝕後遇口水污染,牙齒表面能量會降低
47.金屬陶瓷(metal-ceramic)贋復物在經歷多次的燒結處理後,若陶瓷中白榴石晶體(leucite crystals)含 量增加,會直接造成那種材料特性改變? (A)撓曲強度(flexural strength) (B)疲勞強度(fatigue strength) (C)彈性係數(elastic modulus) (D)熱膨脹係數(coefficient of thermal expansion)
48.關於高貴合金(high-noble alloy)與其他牙科用金屬比較的敘述,下列何者錯誤? (A)密度比鈷鉻(Co-Cr)合金高 (B)彈性係數比鎳鉻鈹(Ni-Cr-Be)合金高 (C)與陶瓷鍵結力優於鈷鉻(Co-Cr)合金 (D)操作敏感度較商業級純鈦(CP Ti)低
49.關於陶瓷補綴物黏合時的表面處理,下列敘述何者錯誤? (A)二氧化矽基(silica-based)陶瓷應先用 15%氫氟酸處理 10 分鐘 (B)在表面塗上偶合劑(coupling agent)可和樹脂黏合劑形成共價鍵 (C)常用的偶合劑(coupling agent)是矽烷(silane) (D)樹脂黏合劑黏著效果優於磷酸鋅黏合劑
50.下列那些離子參與玻璃離子黏合劑的硬化反應?①氟 ②鈣 ③鉀 ④鋁 (A)①② (B)①③ (C)②④ (D)③④
51.下列牙齒結構中硬度由大到小的順序排列,何者正確?①牙釉質(enamel) ②牙本質(dentin) ③牙骨 質(cementum) ④牙釉質與牙本質交界(dentin-enamel junction) (A)①②③④ (B)④①②③ (C)①④②③ (D)①④③②
52.牙科材料生物相容性測試中,檢測亞急性毒性(subacute toxicity)的材料暴露時間為何? (A)1 小時以內 (B)超過 1 小時,1 天以內 (C)超過 1 天,30 天以內 (D)超過 30 天
53.細菌表面的纖毛(fimbriae)通常造成宿主致病的機轉為何? (A)附著至特定的細胞表面 (B)增強細菌的移動力 (C)抵抗吞噬作用(phagocytosis) (D)增強內毒素(endotoxin)的作用
54.下列何者可以幫助 B 細胞活化與成熟分泌抗體? (A)Monocyte (B)Neutrophil (C)T helper cell (D)Endothelial cell
55.Class I major histocompatibility complex(MHC)分子不會表現在下列何細胞上? (A)Epithelial cell (B)Endothelial cell (C)Neutrophil (D)Erythrocyte
56.化膿性鏈球菌(Streptococcus pyogenes)會導致咽喉炎(pharyngitis)以及下列何者? (A)結核病(tuberculosis) (B)白喉(diphtheria) (C)猩紅熱(scarlet fever) (D)水痘(chicken pox)
57.溫氏徵象(Winterbottom sign)為一重要的臨床症狀,係因感染下列何種寄生蟲所致? (A)熱帶利什曼原蟲(Leishmania tropica) (B)枯西式錐蟲(Trypanosoma cruczi) (C)剛比亞非洲錐蟲(Trypanosoma brucei gambiense) (D)弓漿蟲(Toxoplasma species)
58.關於口腔微生物菌相,下列敘述何者錯誤? (A)已知口腔細菌菌種至少有 700 種 (B)每個人口內存在之菌種約在 200 種 (C)牙齒表面的「早期殖民」細菌(early colonizing bacteria)包括 Streptococcus 和 Actinomyces 兩類 (D)革蘭氏陰性厭氧菌(Gram-negative anaerobes)的增生會「降低」牙周病的發生
59.Streptococcus mutans 造成齲齒的代謝機轉,下列何者相關?①葡萄糖糖解作用 ②有氧發酵 ③產生乳酸 (A)僅① (B)僅①② (C)僅①③ (D)①②③
60.關於革蘭氏陽性菌與陰性菌的細胞壁中胜肽醣體的比較,下列何者最正確? (A)革蘭氏陽性菌的細胞壁中胜肽醣體比較薄,革蘭氏染色呈紅色 (B)革蘭氏陽性菌的細胞壁中胜肽醣體比較厚,革蘭氏染色呈藍色 (C)革蘭氏陰性菌的細胞壁中胜肽醣體比較薄,革蘭氏染色呈藍色 (D)革蘭氏陰性菌的細胞壁中胜肽醣體比較厚,革蘭氏染色呈紅色
61.下列牙周疾病微生物毒力決定因素,何者不參與 Tissue destruction 的功能? (A)Hyaluronidase (B)Collagenase (C)Acid phosphatase (D)Fimbriae
62.在植體植入人體組織後,微生物多久會開始聚集在植體周圍組織? (A)30 分鐘 (B)6 小時 (C)12 小時 (D)24 小時
63.牙科治療椅水線(dental unit water lines)的殘菌數不得超過多少 CFU/mL? (A)50 (B)150 (C)350 (D)500
64.如未接種 B 型肝炎疫苗及無 B 型肝炎抗體的牙醫師,在治療病人時受到 B 型肝炎病毒(hepatitis B virus) 感染,下列處置何者最適當? (A)立即注射干擾素 (B)立即注射 HBIG(hepatitis B immunoglobulin) (C)立即注射干擾素及 HBIG(hepatitis B immunoglobulin) (D)立即注射 HBIG(hepatitis B immunoglobulin)並接種 B 型肝炎疫苗
65.關於生體可用率(bioavailability)的敘述,下列何者錯誤? (A)通過任何途徑施用後,達到全身循環的未變化藥物的分率 (B)對於靜脈內劑量,生體可用率被認定為 100% (C)對於口服給藥的藥物,生體可用率可能小於 100% (D)生體可用率不受胃腸道環境影響
66.下列何種止痛藥與血中蛋白質結合率最低? (A)Acetaminophen (B)Celecoxib (C)Ibuprofen (D)Indomethacin
67.鴉片類藥物(opioids)對於腸胃道(gastrointestinal tract)的影響,下列何者錯誤? (A)會降低腸胃道的蠕動 (B)使得腸胃道增加吸收糞便的水分 (C)會減少胃酸分泌 (D)膽管的括約肌(sphincter of oddi)會放鬆
68.Flumazenil 無法反轉下列何種藥物的鎮靜作用? (A)Zaleplon (B)Zolpidem (C)Ramelteon (D)Eszopiclone
69.關於腎上腺分泌的荷爾蒙(hormones)的敘述,下列何者錯誤? (A)腎上腺髓質分泌兒茶酚胺(catecholamine),包含腎上腺素與正腎上腺素(epinephrine and norepinephrine) (B)腎上腺皮質分泌的 hormones 前驅物都是膽固醇(cholesterol) (C)糖皮質類固醇(glucocorticoids)用來治癒肺臟疾病如氣喘 (D)可用於腎上腺機能不全(adrenal insufficiency)的替代療法(replacement therapy)
70.下列何種類型抗生素較不容易引起抗生素相關性腹瀉(antibiotic-associated diarrhea)? (A)Amoxicillin (B)Clindamycin (C)Cephalosporins (D)Macrolides
71.有關頭頸癌化學治療的常用藥物 Cisplatin,下列敘述何者正確? (A)與放射線治療合併治療時,可做為放射線之 radiosensitizer (B)其對耳之毒性,開始會產生低頻聽力之喪失,最終導致全聽力喪失 (C)抗氧化劑 Amifostine 與 Cisplatin 同時使用,會增加 Cisplatin 累積之腎毒性 (D)其化學結構中間含有銀原子
72.下列何種抗生素應避免與制酸劑併用?(A)Kanamycin (B)Erythromycin (C)Tetracycline (D)Streptomycin
73.下列何種抗生素分類的藥理作用為抑制細菌的蛋白質合成?(A)盤尼西林類(Penicillins) (B)四環黴素類(Tetracyclines) (C)磺胺類(Sulfonamides) (D)奎諾酮類(Fluoroquinolones)
74.下列何種抗病毒藥物最不適用於治療口腔疱疹感染?(A)Acyclovir (B)Valacyclovir (C)Penciclovir (D)Oseltamivir
75.下列何種藥物不適合治療由產生β-lactamase 的細菌所引起的感染?(A)Carbenicillin (B)Ceftriaxone (C)Piperacillin/Tazobactam (D)Ceftazidime/Avibactam
76.下列何種 NSAIDs 代謝不是經由肝臟細胞色素 P450 酵素的 CYP2C 家族?(A)Ketoprofen (B)Celecoxib (C)Flurbiprofen (D)Piroxicam
77.下列何種麻醉性止痛劑(narcotic analgesics),最不適合與非麻醉性止痛劑合併製成複方口服錠?(A)codeine (B)morphine (C)hydrocodone (D)oxycodone
78.服用下列何種鈣離子通道阻斷劑(calcium channel blockers)不會影響心率(heart rate)、心肌收縮力(myocardial contractility)與心輸出量(cardiac output)? (A)Verapamil (B)Diltiazem (C)Nifedipine (D)Nimodipine
79.有關口乾症(xerostomia)的藥物 Cevimeline,下列敘述何者錯誤?(A)建議用量為每天 3 次,每次 30 mg (B)為天然存在的生物鹼 (C)為 selective M1 及 M3 muscarinic receptor agonists (D)其作用為直接刺激唾液腺分泌唾液
80.進行凝血作用時,arachidonic acid 會依序出現下列物質活化血小板,其順序為何?①thromboxane A2 ②prostaglandin H2 ③prostaglandin G2 (A)①②③ (B)③②① (C)②③① (D)①③②